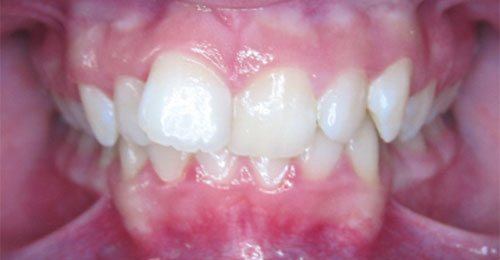
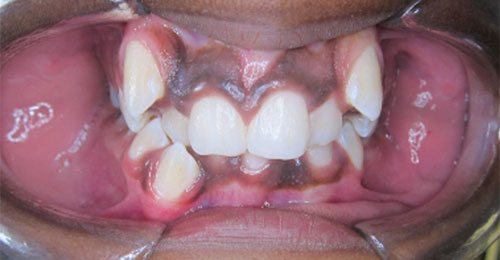
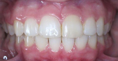
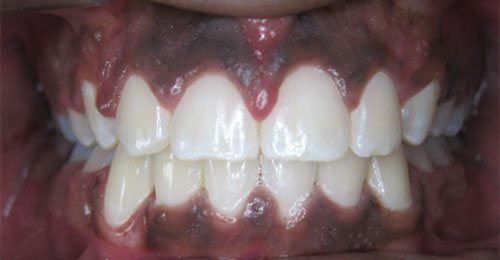
If your bottom teeth are located closer to the back of your mouth (posterior) than your top teeth, this can cause a major malocclusion. This is also known as an open bite or overbite. To provide the necessary treatment and growth redirection, Dr. Matthew Epperson may recommend the Carriere Motion Appliance in Springfield and Eugene, Oregon. It can be applied in minutes with dental bonding and looks and feel more discreet than ever possible with headgear. It is placed before orthodontic care begins and ensures that your smile requires less orthodontic treatment and that your braces or clear aligners provide true facial harmony.
Contact our office at 541-852-2552 to arrange a consultation and learn more about the revolutionary effects of the Carriere Motion Appliance.

